Dé behandelingen
Met een goede mondhygiëne hou je je tanden, kiezen en tandvlees gezond.
Je voorkomt daarmee ontstoken tandvlees en je bevordert de genezing ervan. Maar hoe weet je nu of jouw tandvlees gezond is? En kun je ontstoken tandvlees herkennen? Dit zijn begrijpelijke vragen. Wij leggen het graag uit.
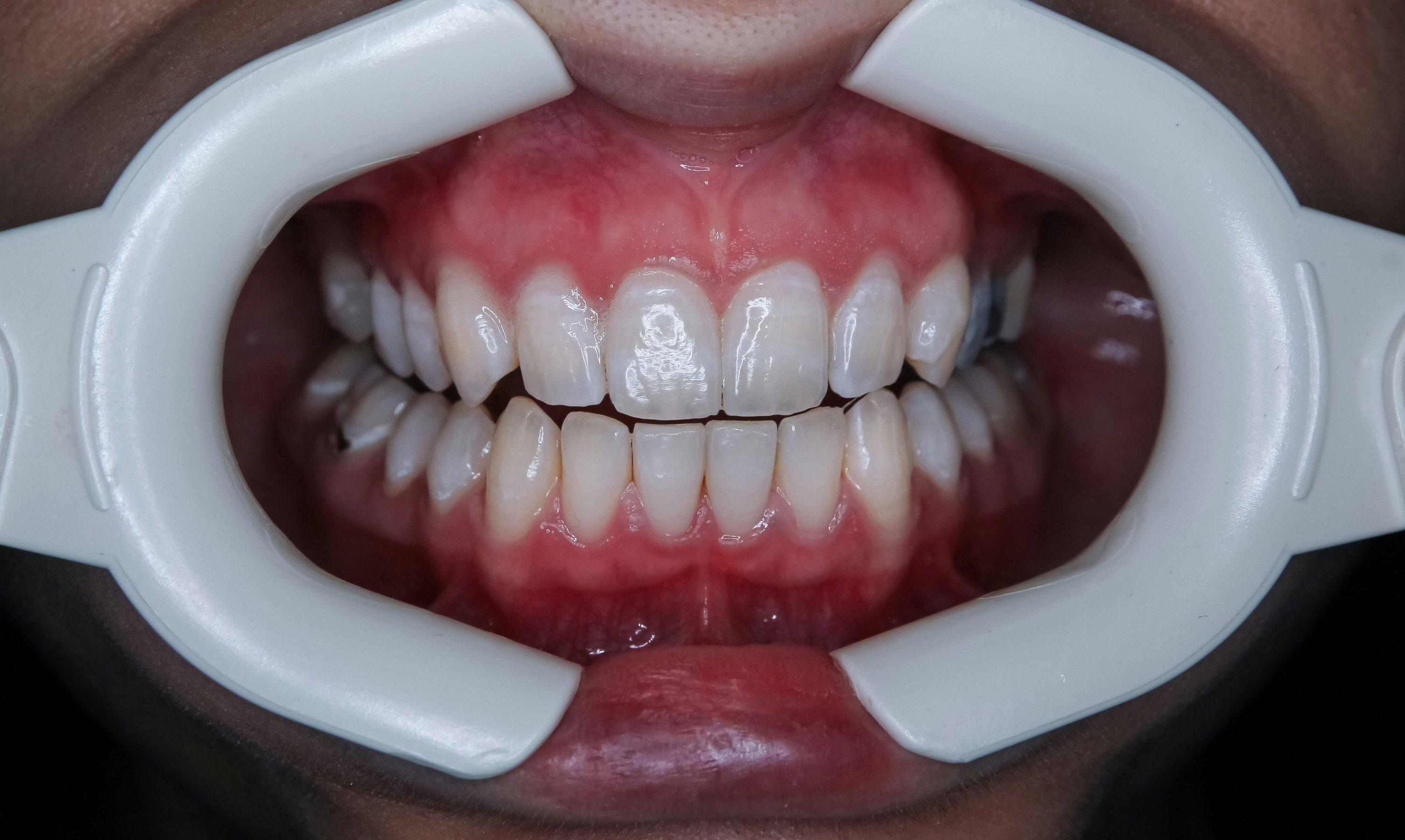
Gezond tandvlees
Gezond tandvlees is roze, ligt strak om de tanden, en bloedt niet bij eten of poetsen. Het vormt de basis van een gezond gebit. Wie zijn tandvlees gezond houdt, geniet langer van zijn eigen tanden. Zorg voor gezond tandvlees is net zo belangrijk als gebitsverzorging, en het voorkomen van ontstekingen is essentieel.

Gingivitis
Bloedend, rood of gezwollen tandvlees wijst op een ontsteking, die overal of plaatselijk, zoals tussen twee tanden, kan voorkomen. Soms gaat het samen met een vieze smaak of slechte adem, maar vaak heb je geen klachten. Het doet zelden pijn, maar kan wel gevoelig zijn bij aanraking, zoals bij poetsen of flossen. Soms is er niets te zien, maar de mondhygiënist kan de ontsteking vaststellen.

Parodontitis
Bij parodontitis breidt de ontsteking zich uit naar het kaakbot, waardoor pockets dieper worden, vezels en bot afbreken, en het tandvlees terugtrekt. Vaak pijnloos en onopgemerkt, wordt het pas zichtbaar als tanden losser staan of ruimtes groter worden. Blootliggende wortels zijn gevoelig en vatbaar voor gaatjes. Bij ernstige botafbraak kunnen tanden uitvallen. Regelmatige gebitscontrole is essentieel om dit te voorkomen.

Peri-implantitis
Peri-implantitis is een ontsteking van het tandvlees en het bot rondom een tandimplantaat. Het wordt veroorzaakt door bacteriën en tandplak die zich ophopen rond het implantaat, wat leidt tot ontstoken tandvlees en afbraak van het omringende bot. Als peri-implantitis niet tijdig wordt behandeld, kan het implantaat zijn houvast verliezen en uitvallen. Regelmatige mondhygiëne en controles zijn belangrijk om dit te voorkomen.
